胸から背中の痛み 502620
痛みが長引く場合、肋間神経痛に似た症状で狭心症などの病気の場合もあるので注意が必要です。 2.肋間神経痛の症状 肋間神経に沿った痛み 背中、わき腹、胸などに痛みを感じます。 痛みの種類は ・チクチク刺すような痛み ・鈍い痛み ・張った様な痛み 胸の真ん中あたりに違和感や痛みがある場合、もしかしたら心臓に関わる病気のサインかもしれません! 痛みを放っておくと、心筋梗塞を起こす危険性もあるのだとか。 今回は、胸の真ん中が痛む際に考えられる症状や病気について解説します。 目次胸が焼けつくような痛み 前胸部や背中を移動しながら裂けるような痛み 呼吸困難 、冷や汗、 吐き気 、 嘔吐 、意識低下、 失神 などを伴う胸痛 心臓や血管以外にも、食道や胃・十二指腸といった消化器の病気、肺炎や 気胸 など呼吸器の病気、骨や筋肉
 
 左 背部 の 痛み 内臓の痛みの位置 痛む場所ごとに原因を解説 Amp Petmd Com
胸から背中の痛み
胸から背中の痛み-背中の痛みから考えられる"内臓の病気" 背中の痛み以外に次の症状によって内臓の病気に見当がつけられます。 ・ 胸の痛み ⇒ 心臓病 ・ 胃のあたりから背中に抜けるような痛み ⇒ 胃炎、胃潰瘍、胃がん、肝臓病、膵臓病、胆石症 ・ 尿の濁り、血尿背中から腰の痛み-腹痛など他の症状別に考えられる疾患と 胸痛・背部痛、咳や痰、息苦しさの原因と症状 みぞおちから背中にかけて痛い、そんな痛みの原因はなんですか? 背中が痛い:医師が考える原因と対処法|症状辞典
 
 


背中の痛みに潜む病気 怖い心筋梗塞や大動脈解離 紙面より 福島安紀 毎日新聞 医療プレミア
症状から自分でチェックできる? 背中が痛むのはストレスが原因? 背中が痛む原因は大きく4つに分類されます。 1つ目は神経疾患に由来するもので、背中の骨がずれたり縮んだりすることで背骨の間を通っている神経を圧迫して痛みが生じるというものです。第19回気になるからだの危険信号 痛み - 胸痛 - 急に胸が痛くなると、皆さんは心臓病を連想しませんか? 実は、「胸痛=心臓病」ではなく、心臓とは関係のない原因で起こることも多いのです。・背中に痛みを感じる ・ひどい肩こりのような痛み(肩こりと勘違い) ・みぞおちが苦しい(胃の症状と勘違い) 結局おなかの上の方から、口のあたりまでの症状はすべて狭心症や心筋梗塞の可能性があるということになります。
胸から背中に痛みが移動します mixiユーザー 06年02月06日 1431 2~3ヶ月前にも同じような症状になって 病院へ行ったのですが その時はレントゲンを撮っても特に異状はないとのことでした 前回と同じように、 まず昨日、夕飯の後 喉の下あたりに物が 「病気」の可能性も 「 背中を使う運動をしたりしたわけではないのに背中が痛い、違和感がある 」場合や、「 安静にしているのに痛みがある 」という場合は、何か病気が隠れているかも19年9月12日 ( 19年10月17日 更新) 気になるからだの危険信号 今回は、背中の痛みがテーマですが、背中の痛みとは、どこを指すのでしょうか? 一般的に、背中が痛いと感じながら、本当は腰に痛みがある場合があります。 背中の痛みと腰の痛みでは
背中の痛みに対して内科の先生の答えは 「内臓からくるものではないので、なんで痛いかはわかりませんから薬も出せませんし、様子を見て、もしもっと悪いようだったらきてください」 という回答でした。 「内科的に原因は不明・・・ でも、動いた田澤先生からの回答 こんにちは。 田澤です。 まずは『 「生理と関係なく、胸や脇が痛い」方は、QandA「左胸と背中の痛み」をまずはご一読ください。 』 をご一読ください。 結論から言えば「1000%問題なしです」 「もうすぐ生理が来ると思うのです 最近胸が痛くなるそんなことはありませんか? 実はその胸痛の原因は肩こりかもしれません。 肩こりというと、肩より後ろに出るイメージですが実は胸にも痛みが出てくるんです。 今回はそんな胸痛の原因と解消法についてお話します。 肩こりによる胸痛
 
 


胸が痛いのは真ん中 左右 場所によって異なる原因や病気の可能性とは
 
 


左 背部 の 痛み 内臓の痛みの位置 痛む場所ごとに原因を解説 Amp Petmd Com
突然、 胸や背中(肩甲骨の間)に激しい痛み が起こることが特徴です。 解離が広がるにつれて痛みが身体の下部へと移動していくため、 腹痛 や 腰痛 も生じることがあります。 痛みの他には、 意識消失 ・ 麻痺 などが起こります。



左 胸 の 右側 が 痛い
 
 


胸痛 健康長寿ネット
 
 


胸痛 きょうつう 済生会
 
 


背中が痛いときの受診は病院の何科に行けばいい 痛みの場所や原因別で異なる症状や対処法を解説 病気スコープ
 
 


背部痛 背中の痛み 元町 中華街の内科 ソージュ山下町内科クリニック
 
 


息も苦しい背中の痛み 那珂川の整体 日本自律神経整体協会認定院 かわせみ整骨院 鍼灸院
 
 


背中の痛み 大川接骨院 石川県金沢市八日市 柔道整復師 電気療法 マッサージ 各種保険適用 医療費助成対応
 
 


肩甲骨の下部から腰部の上までの 背中の真ん中あたり と表現される部分の張りや不快感や痛みは筋骨格系の不具合によるものと 体調に関係して内臓や循環の不調によるものがあります 背中 筋肉 解剖学 背中の痛み
 
 


痛い 重い だるい 腰の痛み 内臓疾患の可能性 Nikkei Style
 
 


腰や背中の痛み こしやせなかのいたみ 済生会
 
 


胸の鈍痛 胸脇の痛み 肋間神経痛 山形 寒河江市 整体 マッサージ師も通う 藤田接骨院
 
 


背中の痛みの原因と治療法 文京区 春日 後楽園駅すぐの整体 整骨院
 
 


背中の痛みの原因は大胸筋 その理由を姿勢のプロが解説 一般社団法人 日本施術マイスター養成協会
 
 


心臓から離れた場所が痛む狭心症の 関連痛 放散痛 症状や部位 原因とは Nhk健康チャンネル
 
 


冷えではなく 背中の張りや痛みの意外な原因は ガチガチの背中をほぐす簡単ヨガ 動画 ヨガジャーナルオンライン
 
 


背中に現れた張りや痛みは体からのサイン ストレスの溜まった背中を緩めるヨガポーズ ヨガジャーナルオンライン Yahoo ニュース
 
 


第21回 気になるからだの危険信号 痛み 背痛 マッサージチェアのパイオニア フジ医療器 1954年創業の美と健康の総合メーカー
 
 


背中の痛み ストレス 慢性症状はストレスが原因 気づかないストレスにアプローチ つちこカイロプラクティック
 
 


なるほど健康 胸の痛み トヨタ記念病院 愛知県豊田市
 
 


胸の痛み 激しい 広範囲ならすぐ受診 肩や喉も注意 トピックス From 日経電子版 日経gooday グッデイ
 
 


食道がんについて 国立がん研究センター 中央病院



胸のあたりから背中のあたりがピリピリする痛み 肋間神経痛かもしれないですよ 大阪市中央区の松屋町鍼灸整骨院



心筋梗塞の前兆 狭心症 の症状チェック のどや胸の痛みなど Nhk健康チャンネル
 
 


背中の痛みの原因は大胸筋 その理由を姿勢のプロが解説 一般社団法人 日本施術マイスター養成協会



胸や背中に出る痛みの原因 太陽堂 湘南台 藤沢の整体治療院



1
 
 


背中の痛み Youtube
 
 


なるほど健康 胸の痛み トヨタ記念病院 愛知県豊田市



121 胸の痛み 生命に危険な場合 心臓 循環器病あれこれ 国立循環器病研究センター 循環器病情報サービス
 
 


肩こりや背中の痛みを引き起こす原因とは 19年04月12日 18時30分 整体院 Oasisブログ Eparkリラク エステ



左 胸 と 左 背中 が 痛い
 
 


くしゃみをすると肩甲骨内側にひびく 40代女性 リガーレaカイロ新宿西口整体院 マッサージで直らない方のかけこみ寺 公式



1



数ヶ月に一度 顎 歯 胸 背中に突然来る痛みの正体はきょ 狭心症 お気楽家族の1コマ漫画日記
 
 


肋間神経痛とは 背中から胸にかけて痛みが走る症状と 痛みに対する治療の種類 メディカルノート



背中の痛み 背部痛 胸の張り 国分寺カイロプラクティックオフィス
 
 


背中の痛み 鍼灸師が執筆 監修



3
 
 


肺がんの症状について 胸や背中の痛みなど主な症状一覧 おしえて 肺がんのコト 中外製薬
 
 


胸の痛み 肩甲骨から腕にかけての痛み
 
 


胸痛 気になるからだの危険信号 痛み 生活習慣病を予防する 特定非営利活動法人 日本成人病予防協会



このようなことでお困りではございませんか
 
 


胸や脇腹が突き刺されたように痛い くしゃみや咳で背中 胸が痛いのは肋間神経痛 大津市 アクア整骨院
 
 


背部痛 背中の痛み あみはりきゅう整骨院グループ
 
 


背中が痛い 病気スコープ



1
 
 


背中の痛みに潜む病気 怖い心筋梗塞や大動脈解離 紙面より 福島安紀 毎日新聞 医療プレミア
 
 


医師監修 作成 肋間神経痛の症状 痛み方や場所 胸 背中 脇腹 脇の下など Medley メドレー
 
 


背中の痛み 改善できる症状 草加市 痛み しびれがスッキリ消える トリガーポイント セラピー専門のひじりボディケアー
 
 


背部痛の解消 改善 せき整体院



背中の痛み 背部痛 胸の張り 国分寺カイロプラクティックオフィス
 
 


胸の痛み 背中の痛み 肋間神経痛 磐田市 掛川市 カイロプラクティックベリー 整体 整体院 鍼灸院で治療院でよくならなかった方ご相談下さい



産後の背中の痛み 大阪玉造の整体院
 
 


背中の痛み 大川接骨院 石川県金沢市八日市 柔道整復師 電気療法 マッサージ 各種保険適用 医療費助成対応
 
 


背中の痛みの原因は大胸筋 その理由を姿勢のプロが解説 一般社団法人 日本施術マイスター養成協会
 
 


呼吸が苦しいほどの背中の痛み 那珂川の整体 日本自律神経整体協会認定院 かわせみ整骨院 鍼灸院
 
 


肺がんの症状について 胸や背中の痛みなど主な症状一覧 おしえて 肺がんのコト 中外製薬
 
 


トレンド 上を向くと首や肩が痛い そんなあなたもできる背骨を使った肩甲骨ストレッチ ゴルフのポータルサイトalba Net
 
 


背痛 気になるからだの危険信号 痛み 生活習慣病を予防する 特定非営利活動法人 日本成人病予防協会
 
 


母乳の詰まりと胸と背中の痛み 横浜の整体 カイロプラクティックcura 中区 元町
 
 


胸 脇 背中 が痛くて 息ができない くらい苦しい さいたま市岩槻区の40代女性 古川カイロプラクティックセンターさいたま整体院
 
 


症例紹介 肋間神経痛 彩玉鍼灸院
 
 


背中が痛い原因はストレス ストレッチで改善できる ハルメク美と健康
 
 


場所ごとの背中の痛みの原因から病気 症状を教えます 左側 真ん中 右側 首から 肩甲骨 胸の痛み Naver まとめ
 
 


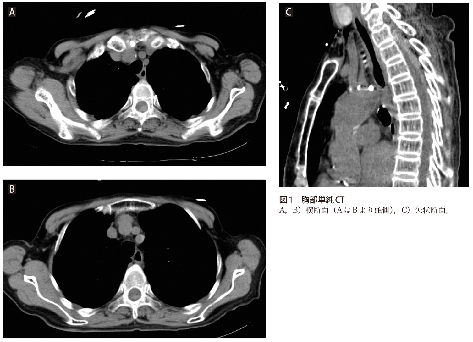
問題 突然の胸背部痛 気づきにくい疾患ですが 目をこらして見てみましょう 実践 画像診断q A 羊土社 レジデントノート 実践 画像診断q A 羊土社 レジデントノート 羊土社



左の胸と背中が痛い あちあち情報局 日記帳



突然の胸の痛み 何科を受診 筋肉のコリが原因となる胸の痛みの治療法
 
 


肋間神経痛とは 背中から胸にかけて痛みが走る症状と 痛みに対する治療の種類 メディカルノート



胸痛 背部痛 咳や痰 息苦しさの原因と症状
 
 


ボード 健康 のピン



Http Amp Petmd Com W Html
 
 


病気の特徴と症状 家族性地中海熱 メディカルノート
 
 


背部痛 背中の痛み 元町 中華街の内科 ソージュ山下町内科クリニック
 
 


寝過ぎて腰 背中が痛い 原因と3つの対処法 Good Sleep Labo ぐっすりラボ ショップジャパン
 
 


胸痛 気になるからだの危険信号 痛み 生活習慣病を予防する 特定非営利活動法人 日本成人病予防協会
 
 


呼吸するたびに胸に激痛が走る 胸部の痛み 背部痛のツボ ツボネット 鍼灸の症例が検索できるツボ辞典
 
 


胸と背中の痛み M
 
 


背中の痛み 肋間神経痛 鹿沼市の鍼 はり ますぶちマッサージ はり きゅう治療院



右胸と首の付け根が痛く ノド仏や胸の中心部の奥に重い痛み 背中の痛みがあるんです なんとかなりませんか 沖縄南風原店 東京阿佐ヶ谷店 整体 Hsti骨格調整法
 
 


背中の痛みの原因 症状 疾患ナビ 健康サイト
 
 


走ると背中が痛い原因は胸の筋肉の硬さです 自分で改善する方法も紹介 青山筋膜整体 理学body
 
 


胃が痛い みぞおちが痛い 背中が痛い原因 にしやま消化器内科
 
 


痛い 重い だるい 腰の痛み 内臓疾患の可能性 Nikkei Style
 
 


背中の痛みに潜む病気 怖い心筋梗塞や大動脈解離 紙面より 福島安紀 毎日新聞 医療プレミア



Eckn3ru14kehflweit5h Com Custom16 Html
 
 


背中が痛い原因はストレス ストレッチで改善できる ハルメク美と健康
 
 


胸が痛い 肋間神経痛の症状チェック 何科に行く ストレス 帯状疱疹が原因になることも Medicalook メディカルック
 
 


肋間神経痛 ろっかんしんけいつう 済生会
 
 


背中の痛み Youtube
 
 


心筋梗塞の前兆をチェック 肩 背中 胸の痛みは要注意 受診すべき症状は Medicalook メディカルック
 
 


肋間神経痛 ろっかんしんけいつう 済生会
 
 


胸の痛み 神経痛 痛散湯 漢方の再春館製薬所
 
 


体をひねると背中に痛みが出て息がしづらくなる 胸部の痛み 背部痛のツボ ツボネット 鍼灸の症例が検索できるツボ辞典
 
 


スマホ首 ストレートネックが原因のくびの痛みが急増中 スーッと楽にする方法を専門家が教えます 株式会社主婦の友社 のプレスリリース



市民公開講座 胸と背中の痛みと救急疾患 心血管病から命を守る 金沢大学 大学院医学系研究科 循環器病態内科学 旧第二内科
 
 


特集 背中が痛む原因とは 関連する病気一覧 症状 治療法 Nhk健康チャンネル
 
 


胸が痛い 狭心症の症状とは 歯や肩に痛みが生じる場合も メディカルノート
 
 


狭心症 高仲循環器クリニック 浜松市
 
 


胸が痛い時は何科を受診 原因とすぐに病院に行くべき危険な症状 Medicalook メディカルック
 
 


痛い 重い だるい 腰の痛み 内臓疾患の可能性 Nikkei Style
 
 


左側の背中の痛み 肩甲骨の下が痛い 治し方は 病院は何科 Medicalook メディカルック
 
 


食道炎 長引く胸の違和感 痛み Nikkei Style
 

コメント
コメントを投稿